Startup
Tel Aviv Sourasky Medical CenterがイスラエルのスタートアップImagene AIの革新的ガン診断
Tel Aviv Sourasky Medical Centerの病理医が、デジタル病理学と人工知能(AI)を組み合わせたイスラエル独自の開発により、世界で初めて数分以内にがんの変異を診断し、治療法を調整する方法を発見しました。変異の場所を特定し、患者に合わせた治療法を見つけるためには、腫瘍ごとに複雑な遺伝子分子検査を行う必要があります。このプロセスは現在、数週間かかり、その間、患者は治療を受けられず、がんは進行していきます。進行性の転移性がんの場合、その期間が生死を分けることもあります。AI企業Imageneが開発したこの新技術は、Souraskyの病理学研究所で応用されています。
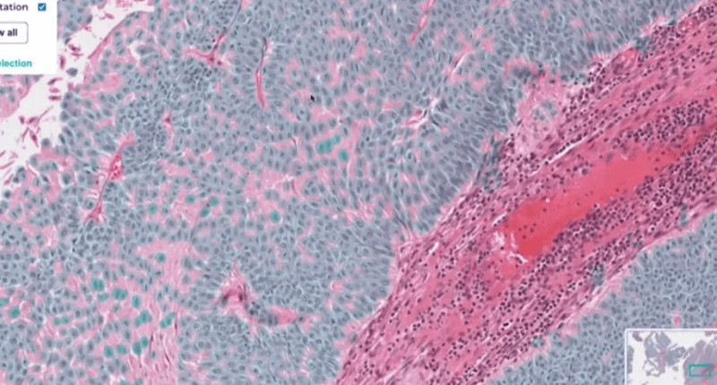
複雑な分子的手法による腫瘍の遺伝子検査は、がん患者の生物学的治療を調整するための主要なツールです。現在では、手術や生検で摘出した腫瘍組織から抽出したDNAという遺伝物質の塩基配列を調べることで検査が行われています。顕微鏡による腫瘍の検査から始まり、DNAの単離、複雑な塩基配列の検査に至るまで、すべての工程が研究所内で行われています。
Imagene AIは、がん患者が医学の提供する最適な治療を受けられるよう支援することを明確な使命とし、2年前にテルアビブで設立されたイスラエルのスタートアップ企業です。人工知能を使って、生検の画像だけから幅広いがんのバイオマーカーやゲノム情報をリアルタイムで検出することができます。これにより、「経済的、物流的、技術的な障壁を乗り越え、がん患者のための精密医療の可能性を最大限に引き出します」とスタートアップは述べています。一流の医療センターや製薬会社とのコラボレーションを通じて、Imagene AIは臨床と研究の両方のための分子スクリーニングに革命を起こしています。
この問題を克服するために、同社は、顕微鏡下の腫瘍の外観を極めて高解像度の画像にすることができる、Souraskyの病理学研究所のデジタル病理学機能を利用しています。同社は、異なる変異を持つ細胞特有の外観を識別することができる特殊なアルゴリズムを開発しました。これにより、複雑な遺伝子検査を行わなくても、顕微鏡で腫瘍を見た直後から数分以内に変異の有無を予測することが可能になりました。Souraskyで治療を受けた2人のがん患者は、臨床の場でこの技術の恩恵を受けた世界初の患者です。いずれも脳転移を伴う乱脈性転移性疾患であることが判明し、治療の必要性が急務となりました。医学的緊急性を理解した上で、Imageneのアルゴリズムが初めて起動し、数分以内に治療可能な変異を特定しました。この知見に基づき、ターゲットとなる迅速な遺伝子検査も実施され、変異の存在が確認されたため、24時間以内に治療を開始することができました。
病理学研究所所長のDov Hershkovitz教授は、次のように述べています。「研究活動や革新的な技術開発に参加していますが、その技術革新が患者さんに直接的かつ大きな利益をもたらすことを実感できるのは、ごくたまにです。国際的なレベルで、革新的なイスラエルのリーディングカンパニーと一緒に仕事ができることを大変うれしく思っています。すでに医療の質への影響を目の当たりにしているので、日々の仕事から多大な満足感を得ています。」
また、Sourasky社の腫瘍部門ディレクターであるIdo Wolf教授は、次のように述べています。「これは驚くべき成果です。科学、技術、革新の組み合わせが、患者のベッドサイドに直接届き、実際に命を救うことを可能にしたのです。これまでは長い間待って、目の前で患者さんがどのように悪化していくかを見てきましたが、今は実際に命を救うことができるのです。昨日は検査をお願いして、今日はもう薬を出している。こんな時代が来るとは思ってもいませんでした。」
イマジーンAIの共同創業者兼CEOのDean Bitanは、次のように述べています。「先進的な技術を開発し、またそれが人間の生活に大きな影響を与えるのを見るのは、大変な特権です。私たちはまさにこのために存在しているので、これは私たち全員を非常に興奮させます。数分以内にゲノム診断を行い、すぐにオーダーメイドの治療を開始することは、患者さんやご家族、医師団にとって非常に劇的な変化です。私たちはこの革命をリードできることを誇りに思います。」
関連ニュース








最新ニュース

リアルタイム動画インテリジェンス分析のためのAIプラットフォームを開発する"Conntour"がSeedで$7Mを調達
2026/03/30

会議中にボットで文字起こししてノートを生成する"Granola"がSeries Cで$125Mを調達し評価額が$1.5Bに拡大
2026/03/26

医療システムと連携しAIの評価および導入を支援する"Qualified Health"がSeries Bで$125Mを調達
2026/03/26

自己免疫疾患に適応する多機能抗体を設計するAI抗体創薬のBiolojic Design、Teva提携下のTEV325で前臨床マイルストンを達成
2026/03/26

企業ブランドを深く理解した編集可能なデザインを作成するAIプラットフォームの"Moda"がSeedで$7.5Mを調達
2026/03/26
